Những “căn bệnh phù thủy” mà khoa học chưa có lời giải

Bích Đào, Theo Trí Thức Trẻ 00:00 17/06/2014
Chia sẻ

Nôn theo chu kỳ, một phần mặt bị biến dạng... là những căn bệnh lạ lùng mà các nhà khoa học vẫn đang miệt mài nghiên cứu.

Trên thế giới có vô vàn những chứng bệnh đáng sợ. Những chứng bệnh kỳ lạ dưới đây đã và đang khiến bệnh nhân gặp phải nhiều sự rắc rối. 

Nhiều chứng bệnh đã được các bác sĩ "vạch mặt chỉ tên", nhưng vẫn còn một vài chứng bệnh nằm trong vòng bí ẩn.

Cùng tìm hiểu một vài căn bệnh lạ được y học gọi tên chung "bệnh phù thủy" qua bài viết dưới đây.

1. Hội chứng nôn theo chu kỳ

Hội chứng nôn theo chu kỳ được biểu hiện bởi những cơn nôn dữ dội, xảy ra tuần tự mà không có một nguyên nhân rõ ràng nào. 



Những trận nôn đều giống nhau và có xu hướng xảy ra tại cùng thời điểm so với ngày hôm trước, với cùng triệu chứng và mức độ như nhau. Thời gian của mỗi lần nôn có thể kéo dài hàng giờ trong suốt nhiều ngày liên tiếp.


Các chuyên gia chỉ ra, căn bệnh lạ này gặp ở cả người lớn và trẻ nhỏ. Mặc dù số lượng người mắc bệnh ngày càng tăng cao nhưng hội chứng này vẫn là bí ẩn lớn đối với giới y khoa. 

Lý do là bởi chưa ai biết được căn nguyên thực sự của căn bệnh, độ dài chính xác những lần nôn hay tại sao nó chỉ xảy ra ở khoảng thời gian nhất định trong ngày và liên tục lặp lại. 


Có ý kiến chỉ ra rằng chứng bệnh này liên quan đến chứng đau nửa đầu tuy nhiên vẫn chưa có bằng chứng nào xác thực được giả thuyết này. Và kỳ lạ hơn, sau một thời gian, căn bệnh sẽ tự biến mất một cách bí ẩn như khi nó đến vậy.

2. Hội chứng Parry-Romberg

Con người luôn tìm thấy ở sự đối xứng một nét hấp dẫn kì lạ. Các nghiên cứu chỉ ra rằng, ở nền văn hóa nào thì hầu hết mọi người đều tin một khuôn mặt đối xứng luôn đẹp hơn một khuôn mặt bất đối xứng.


Với nhiều người, một khuôn mặt cân xứng được cho là đẹp hơn.

Lý do được các nhà khoa học đưa ra đó là nhiều người cho rằng, sự giống nhau giữa 2 bên khuôn mặt nói lên rằng bạn có sức khỏe tốt và có thể chống lại bệnh tật hay lão hóa.

Bởi vậy, hội chứng Parry-Romberg có thể trở thành hung thần khi nó chỉ tập trung phá hủy một nửa mặt của người bệnh. 

Hội chứng Parry-Romberg khiến một nửa khuôn mặt trở nên bị biến dị.

Căn bệnh này hủy hoại các mô và tế bào dưới da cho đến khi một nửa khuôn mặt của bạn trở nên khô héo và quắt lại như một trái táo khô, hoàn toàn phá hủy sự cân đối trên khuôn mặt. Căn bệnh này chủ yếu tấn công phụ nữ ở độ tuổi từ 5-15. 

Ngoài việc ảnh hưởng đến các mô, rối loạn này thường đi kèm với các rối loạn thần kinh điều khiển mắt và miệng. Phạm vi và mức độ nghiêm trọng của bệnh là đa dạng và khác nhau tùy từng bệnh nhân. 



Các nhà khoa học cho rằng, hội chứng này có thể bị gây ra do một rối loạn tự miễn nhiễm. Nhiều người cũng nghi ngờ hội chứng này là một biến thể của bệnh xơ cứng bì khu trú nhưng nguyên nhân chính xác và sinh bệnh học của rối loạn này vẫn là một bí ẩn. 

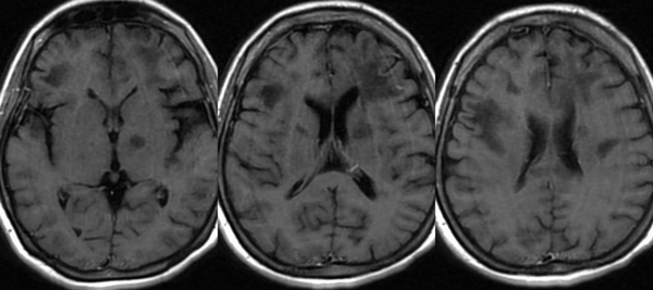
3. Bệnh chất trắng đa ổ tiến triển (PML)

Căn bệnh kỳ lạ này được miêu tả như một chứng rối loạn thần kinh. Chứng bệnh (Progressive Multifocal Leukoencephalopathy - PML) này được đặc trưng bởi sự phá hủy các tế bào sản xuất myelin. 

Myelin là một chất dạng dầu có tác dụng bảo vệ hệ thần kinh trong não và tủy sống con người hay còn được gọi là chất trắng của hệ thống thần kinh trung ương. 



Bằng cách này, căn bệnh phá hủy dần lớp màng bảo vệ các dây thần kinh trong não bộ. Nó gây ra sự suy giảm hoạt động não, biểu hiện là chân tay yếu khó cử động, mất trí nhớ, mất ngôn ngữ... và có thể dẫn đến cái chết. Căn bệnh này bị gây ra bởi một loại virus có tên JC. 


Tuy nhiên virus JC chỉ gây bệnh khi hệ miễn dịch bị suy yếu nghiêm trọng chẳng hạn như ở người nhiễm HIV/AIDS, có khối u ác tính huyết học hay ở người được ghép nội tạng buộc phải sử dụng thuốc ức chế miễn dịch. Nhìn chung tỉ lệ mắc bệnh PML là khoảng 1/200.000 người.


PML phá hủy dần não bộ.

Căn bệnh này vẫn là đề tài nghiên cứu đau đầu của các nhà khoa học bởi hiện nay, các chuyên gia vẫn chưa có biện pháp nào để phòng ngừa hay tiêu diệt loại virus này, tránh không cho nó phát bệnh. 

* Bài viết sử dụng tư liệu tham khảo từ các nguồn: All that is interesting, Livescience, Wikipedia...
TIN CÙNG CHUYÊN MỤC
Xem theo ngày